

インプラント治療はまず“無料相談”から
費用・期間・痛み・治療内容について、初めての方にもわかりやすくご説明します。
WEBで無料相談を予約する(24時間受付)
お電話でのご予約・ご相談048-255-6480(診療時間内)
院長紹介


ごあいさつ
川口市で開業して以来、患者さまとの対話を大切にしながら25年以上インプラント治療に携わってきました。
治療は「何を入れるか」ではなく“これからどのように過ごしたいか”
を一緒に考えることが大切だと考えています。痛み・費用・治療期間などに不安がある方も、どうぞ安心してご相談ください。
将来を見据えた、安全で長く使える治療をご提案いたします。
院長 藤澤 秀男(歯学博士)

経歴
- 埼玉県戸田市生まれ・川口在住
- 平成10年 明海大学 歯学部 卒業
- 平成10年 川口市内の歯科医院勤務
- 平成18年 ふじさわ歯科クリニック (田端)開業
- 平成21年 ふじさわ歯科クリニック (川口)開業
所属学会・活動
- 日本口腔インプラント学会所属
- 川口歯科医師会
- 日本インプラント臨床研究会所属
- 日本歯科医師会会員
- 日本歯周病学会
- 埼玉県歯科医師会会員
- CHP研究会
- 川口市立仲町小学校校医
- 南カルフォルニア大学客員研究員
- 臨床研修医指導歯科医師
- 明海大学病院歯内保存科非常勤講師

オールオン4とは?


従来のように多くのインプラントを入れなくても、少ない本数でしっかり噛める歯を支えることができます。
総入れ歯の違和感やグラつきでお困りの方、
歯周病で多くの歯を失ってしまった方、部分入れ歯が合わない方に適した治療法です。
固定式のため、ズレにくく、安定して噛める状態が得られ、食事や会話も以前のように快適に楽しめます。

オールオン4のメリット

-

少ない本数で治療
でき、身体への負
担が少ない01
従来は多数のインプラントを埋め込む必要がありましたが、オールオン4は少ない本数で全体を支える構造のため、手術負担を抑えやすい治療法です。
-

骨が少ない方でも
適応できる場合が
ある02
インプラントを“斜め”に配置する技術で、骨が残っている部分を活かすことができます。そのため「骨が薄い」と言われた方でも、治療の選択肢が広がることがあります。
-

手術当日に仮歯を
固定でき、歯がない
期間をつくらない03
状態が整っていれば、手術当日に固定式の仮歯を装着できます。
見た目や会話の不安が軽減され、早期に普段の生活に戻りやすくなります。
オールオン4のデメリット

-

外科手術が必要なため、腫れ・痛みが出る可能性がある
01
インプラントを顎に埋め込むため、術後に一時的な腫れや痛みが生じる場合があります。
症状は通常数日〜1週間ほどで落ち着きます。 -

すべての方に適応できるわけではない
02
骨量・全身状態・生活習慣などによっては、治療が適さない場合があります。
そのため、事前の精密検査(CT撮影など)が欠かせません。 -

自費診療のため、費用負担が大きい
03
保険診療の入れ歯やブリッジに比べると、初期費用が必要な治療法です。
ただし、少ない本数で治療できるため、従来の全顎インプラントより負担を抑えられるケースもあります。
こんな方に向いています

入れ歯が痛い・外れるなどでお困りの方
長く使える固定式の治療を選びたい方
噛めない状態を早く改善したい方
総入れ歯の違和感(ガタつき・ズレ)がつらい方
多くの歯を失ってしまった方
食事や会話を以前のように楽しみたい方
「骨が薄い」と他院で言われた方
比較表

インプラント・オールオン4・AGC の違い
| インプラント(1本) | オールオン4(全顎) | AGC (Auro Galvano Crown) |
|
|---|---|---|---|
![]() |
![]() |
![]() |
|
| 本数 | 失損1歯につき1本を埋入 | 片顎に4〜6本で全体を固定 | 片顎に4〜6本で全体を固定(All-on-4と同様) |
| 対象 | 部分的な歯の欠損 | 多くの歯を失った方、入れ歯が合わない方、無歯顎の方 | 多くの歯を失った方、無歯顎の方 |
| 費用 | 本数に比例して増加 | 全顎治療の中では、費用負担を抑えられる傾向 | オールオン4より費用を抑えられる場合がある |
| 手術の難易度 | 症例により個別 | 骨造成が不要なケースが多く、比較的シンプル | オールオン4と同様、精密な適合が必要 |
| 治療期間 | 骨の定着期間が必要 | 状態により、手術当日に仮歯装着も可能 | 状態により、手術当日に仮歯装着も可能 |
| 固定 | 1本ごとに固定 | スクリュー固定で全体を支持 | スクリュー固定。精密ガルバノ構造でより高い安定性 |
| 安定性 | 自然歯に近い安定性 | 全体で噛む力を支えやすい | 精密フレームにより高い安定性 |
| 骨量の条件 | 骨量が少ない場合は追加処置 | 骨の少ない部分を活用できる手術により適応範囲が広い | オールオン4と同等。骨量が少ない方にも適応する場合あり |
| 取り外し | 種類により異なるが基本は固定式 | 固定式(医院で取り外し可能) | 固定式(医院で取り外し可能) |
| メンテナンス | 汚れが溜まりにくく管理しやすい | 定期的なメンテナンスが必要 | 医院での取り外し清掃により、清潔を維持しやすい |

あなたの場合どうなる?
を分かりやすくご説明します。
お口の状態を確認し、治療の選択肢や費用を分かりやすくお伝えします。無理なご提案はいたしませんのでご安心ください。
WEBで無料相談を予約する(24時間受付)
お電話でのご予約・ご相談048-255-6480(診療時間内)
当院のオールオン4が選ばれる理由


-
reason01
CTを用いた精密診断で、
最適な治療計画を立案当院ではインプラント治療を行う前に、歯科用CTで神経・血管・骨の状態を立体的に把握します。
インプラントの埋入位置・角度を事前に正確に確認できるため、より安全性の高い治療計画が可能になります。 -
reason02
サージカルガイドを使用し、
安全性を向上CTデータから作成する“手術用ガイド”を使用し、事前のシミュレーション通りに安全で正確な埋入を行います。
歯ぐきを大きく切らない「フラップレス手術」にも対応し、痛みや腫れが少ない治療を実現します。 -
reason03
インプラント経験25年以上
の院長が担当ふじさわ歯科クリニックでは、インプラント治療経験25年以上・症例2,000本以上の院長が担当します。
“難症例” の診断にも対応しており、骨量が少ない方のオールオン4治療にも可能な限り対応しています。 -
reason04
麻酔専門医による鎮静麻酔
対応で、不安なく受けられる手術時には、麻酔専門医による静脈内鎮静法に対応。
「眠っている間に終わる」ため、痛みや恐怖心が強い方でも安心して治療を受けていただけます。 -
reason05
治療後のメンテナンス体制も充実
治療後は、歯科衛生士による定期メンテナンスでインプラント周囲炎を予防し、長く使える状態を維持します。
医院で取り外してクリーニングするため、清潔な状態を保ちやすいのが特長です。 -
reason06
無理に勧めない、丁寧で誠実なカウンセリング
当院では、治療内容・費用・期間の違いを「わかりやすく丁寧に」説明し、患者様が納得した上で治療を進めることを大切にしています。
強い勧誘や押しつけは一切ありません。
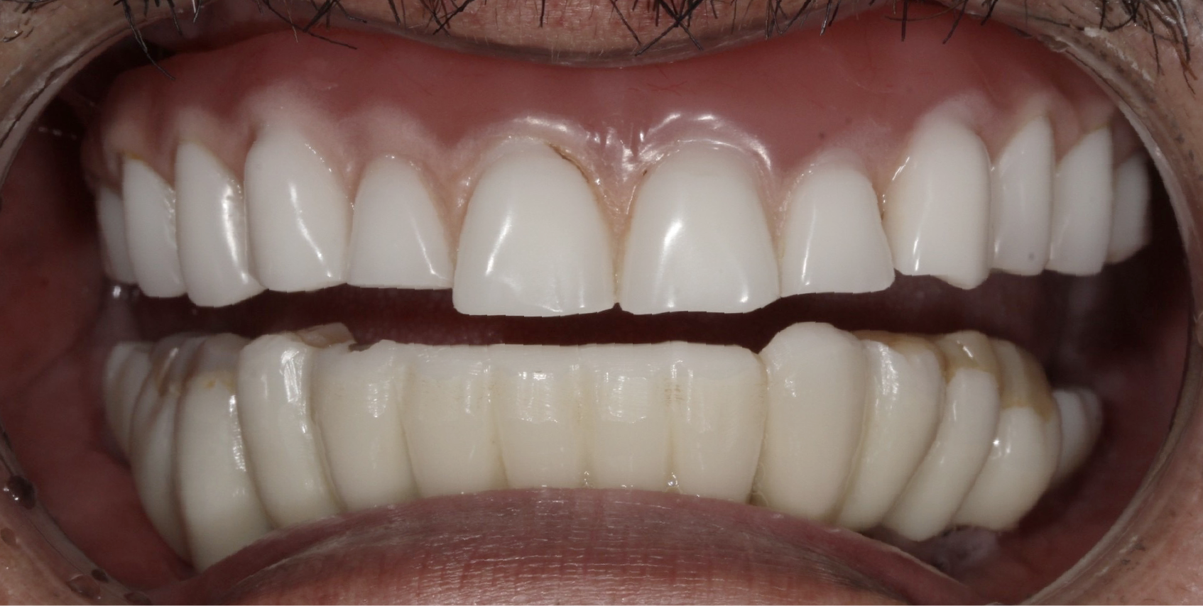
症例紹介

case 01 オールオン4



- 性別年齢
- 男性:62歳
- 治療内容
- オールオン4
- 金額
- 600万
- 治療経過
- 下から治療開始して調子が良いのでその後、上も治療開始、半年ほどで完了、現在は定期メンテナンスで来院している
- 来院理由
- 歯周病と虫歯を若い時から繰り返している為にインプラント治療して白い綺麗な歯にして欲しい、なるべく長く持ち、なんでも噛めるようにしたい
- 施術の
副作用
(リスク) - 手術直後は腫れたが痛みはほとんどなく、仮歯からであったが違和感もなく、すぐに慣れた
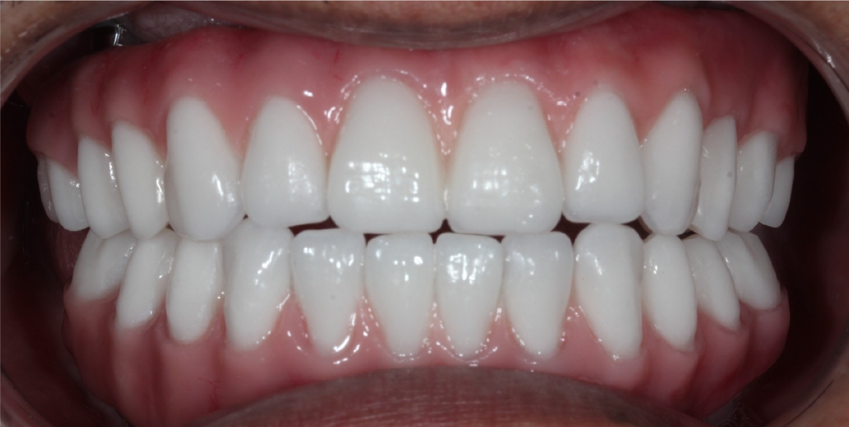
case 02 オールオン4



- 性別年齢
- 女性:65歳
- 治療内容
- オールオン4
以前、矯正治療やセラミック治療を行ったが、虫歯が多く歯を失った為にインプラントで固定式の歯にして欲しい - 金額
- 500万
- 治療経過
- 即日インプラント入れて、仮歯まで行い、半年後に最終的な歯にした
- 来院理由
- 数年前から定期的に治療で通院していたが、入れ歯になっていた所の歯がダメになり、インプラント治療になった
- 施術の
副作用
(リスク) - 上のインプラントを一度修正したが、その後は特に問題がなく、経過している

あなたの場合どうなる?
を分かりやすくご説明します。
お口の状態を確認し、治療の選択肢や費用を分かりやすくお伝えします。無理なご提案はいたしませんのでご安心ください。
WEBで無料相談を予約する(24時間受付)
お電話でのご予約・ご相談048-255-6480(診療時間内)
治療の流れ

-

step1
初診カウンセリング・CT撮影
初診ではお悩みを伺い、CT撮影・口腔内検査を行います。
骨の状態・神経の位置・歯周病の進行度などを詳細に確認し、治療が可能かどうかを診断します。 -

step2
治療計画のご説明
CT画像をお見せしながら、治療方法・期間・費用を丁寧にご説明します。他の選択肢も含め、患者様にとって最適な治療をご提案します。無理に治療を勧めることはありません。
-

step3
インプラント手術
麻酔専門医が立ち会い、静脈内鎮静法にも対応しています。
不安や恐怖心が強い方でも、眠っているような状態で手術を受けられます。 -

step4
仮歯の装着(当日または翌日)
状態によっては、手術当日または翌日に仮歯を装着できます。
見た目の問題や会話の不便を最小限に抑えられます。 -

step5
治癒期間・メンテナンス
治癒期間は数ヶ月ほど。インプラントと骨が結合し、しっかり固定されるまで定期的なメンテナンスを行います。
大きな制限なく、普段通りの生活が可能です。 -

step6
最終の人工歯を装着
噛み合わせを細かく調整し、最終の人工歯を装着します。
治療後もメンテナンスを継続し、長期的な安定をサポートします。

治療費のご案内

治療内容
- インプラント
(1本) - オールオン4
(片顎)
費用(税込)
- 42万円〜
- 280万円〜
治療内容
- インプラント
(1本) - オールオン4
(片顎)
分割払い(月々)
- 月々5,000円〜(84回)
- 月々34,000円〜(84回)
※医療ローンを利用した場合の参考金額です。
※審査によりご利用いただけない場合があります。
CT診断後に、正確な費用と治療計画をご説明いたします。
無理なご提案はいたしません。
保証・支払い方法

● インプラント保証
- ・5年保証
- ・定期メンテナンスを受けている方が対象です
- ・保証内容の詳細はカウンセリング時にご説明いたします
● お支払い方法
- ・現金
- ・クレジットカード
- ・デンタルローン
インプラント1本:月々5,000円〜(84回払い)
オールオン4:月々34,000円〜(84回払い) - ・審査あり。無理のない返済計画をご提案します
● 費用に関する注意点
- ・骨量やお口の状態により、追加処置が必要となる場合があります
- ・治療期間・費用は症例によって異なります
- ・手術後に腫れ・痛みが出る場合があります
- ・インプラントを長持ちさせるため、定期メンテナンスが必要です

あなたの場合どうなる?
を分かりやすくご説明します。
お口の状態を確認し、治療の選択肢や費用を分かりやすくお伝えします。無理なご提案はいたしませんのでご安心ください。
WEBで無料相談を予約する(24時間受付)
お電話でのご予約・ご相談048-255-6480(診療時間内)
リスク・副作用について

インプラント治療やオールオン4は、お口の状態を大きく改善できる治療ですが、医療行為である以上、下記のような副作用やリスクが伴う場合があります。
当院では事前にしっかりご説明し、安全性を確認したうえで治療を行っていますのでご安心ください。
-
● 手術直後に起こりやすい反応
・腫れ ・痛み ・出血
・内出血(青あざのような状態)
多くは 数日〜1週間ほどで改善します。 -
● インプラント周囲炎(歯周病に似た炎症)
磨き残しやメンテナンス不足により起こることがあります。長期的なトラブルを防ぐため、定期検診・クリーニングが非常に重要です。
-
● 痛み・違和感の残存
インプラント埋入部や周囲の組織に触れた際に、一時的な違和感や痛みが出る場合があります。
-
● 骨の状態により追加処置が必要なケース
骨が薄い・弱い場合、より安全に治療を行うために追加処置が必要になることがあります。
-
● 全身状態による影響
糖尿病・高血圧・服薬内容などにより、治癒の過程に変化が生じることがあります。
事前カウンセリングで医師がしっかり確認しますので、ほとんどの場合は治療可能です。 -
● 麻酔時のリスク(静脈内鎮静法)
麻酔専門医が担当しますが、点滴麻酔により以下の症状が出ることがあります。
・眠気 ・吐き気 ・めまい
ほとんどが 短時間で改善 します。 -
● 治癒速度には個人差があります
骨の状態・治癒力・生活習慣・メンテナンス状況により、治療の経過には個人差があります。
よくあるご質問
(Q&A)
-
q手術は痛いのでしょうか?
aご安心ください。手術中は麻酔が効いていますので、痛みはほとんどありません。
「怖い」「緊張する」という方には、麻酔専門医による静脈内鎮静法(うとうと眠っているような状態)もご利用いただけます。
できるだけ負担が少ない環境で治療を受けていただけるよう配慮しています。 -
q手術当日に噛めるようになりますか?
a状態が良い場合、当日または翌日に仮歯を装着できます。
もちろん“噛める強さ”には個人差がありますが、見た目や会話に困らない状態まで回復することがほとんどです。 -
q年齢が高くても治療できますか?
a年齢だけで可否は決まりません。ポイントは 骨の状態です。
CT検査で骨量を確認し、安全に治療が可能か判断いたします。60〜70代以上の方も多くご相談に来られています。 -
q費用はどのくらいかかりますか?
aインプラント(1本):42万円〜、オールオン4(片顎):280万円〜
月額払い(分割)もご利用いただけますので、無理のない範囲で治療計画をご提案いたします。 -
q骨が少ないと言われましたが治療できますか?
a他院で難しいといわれたケースでも、CTで位置・角度を確認することで治療可能な場合があります。状態によっては別の治療法をご提案する場合もありますので、一度ご相談ください。
-
qどれくらい持ちますか?長く使えますか?
a定期的なメンテナンスを受けていただければ、長期的に安定して使える可能性があります。
通常は3〜6ヶ月に一度程度の検診をお願いしています。 -
q手術後の生活はどうなりますか?
a数日〜1週間ほどで腫れや違和感が落ち着くことが多いです。
生活への大きな制限はありませんが、当日は激しい運動や長時間の入浴は避けていただいています。お食事についても無理がない範囲でご案内いたします。 -
q相談だけでも大丈夫ですか?
aもちろん大丈夫です。CT診断をもとに、現在のお口の状態から可能な治療・かかる費用・治療期間まで丁寧にお伝えします。無理に治療を勧めることは一切ありません。
まずはお気軽にご相談ください。

あなたの場合どうなる?
を分かりやすくご説明します。
お口の状態を確認し、治療の選択肢や費用を分かりやすくお伝えします。無理なご提案はいたしませんのでご安心ください。
WEBで無料相談を予約する(24時間受付)
お電話でのご予約・ご相談048-255-6480(診療時間内)
アクセス・医院情報

ふじさわ歯科クリニックは、JR川口駅 東口より徒歩5分の場所にあります。
インプラント治療後のメンテナンスも、無理なく継続して通院いただけます。
ふじさわ歯科クリニックは、JR川口駅 東口より徒歩5分の場所にあります。インプラント治療後のメンテナンスも、無理なく継続して通院いただけます。

アクセス
〒332-0016
埼玉県川口市幸町2-17-1-105
(JR川口駅
東口より徒歩5分)
ご予約・お問い合わせ
治療のご相談・カウンセリング予約は
お電話またはWEBから受け付けています
(24時間WEB)
お電話で相談
048-255-6480
診療時間




